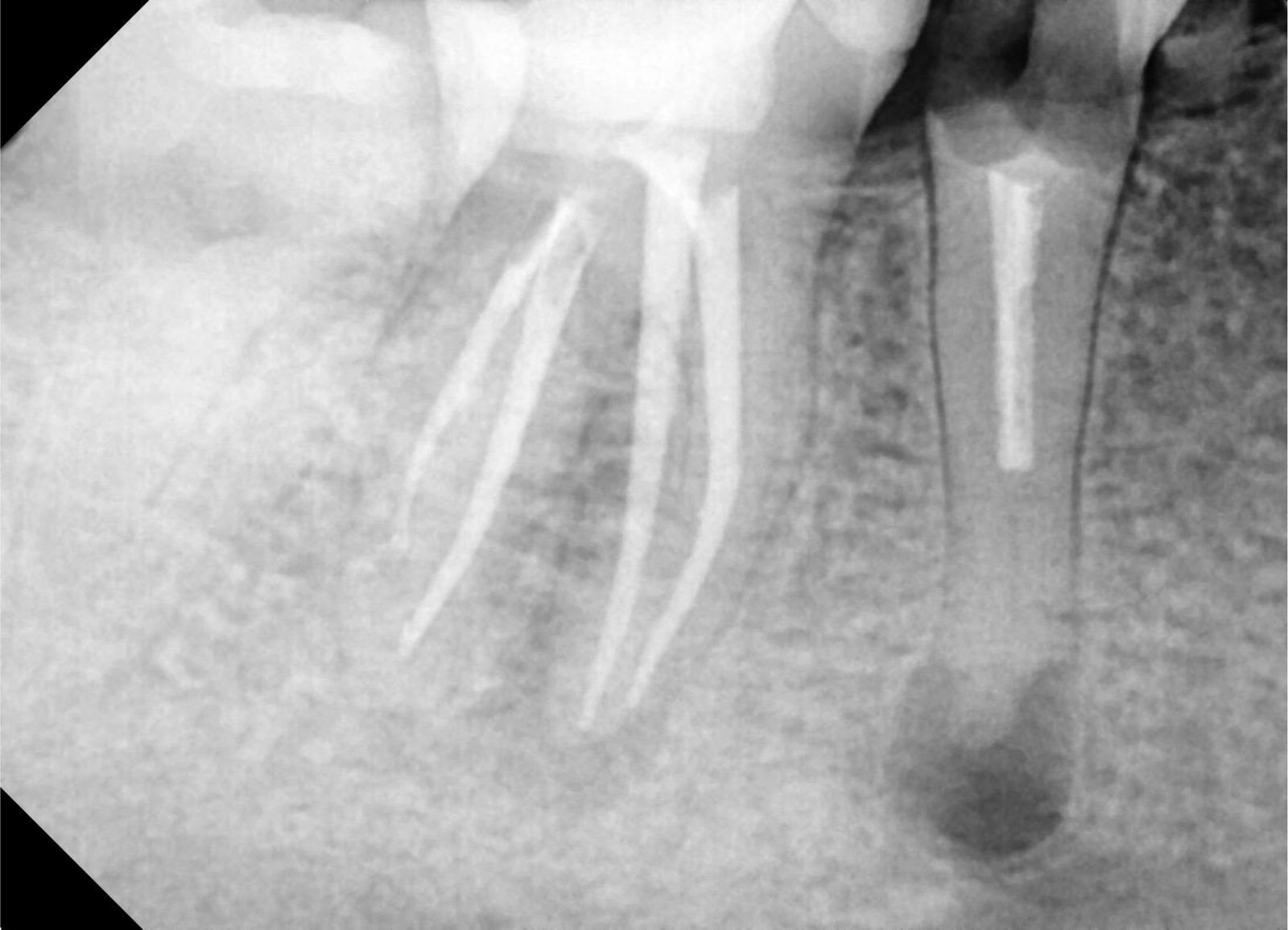
Rontgen Periapical digunakan untuk menunjukkan satu atau dua saja dengan lebih detail, biasanya rontgen Periapical digunakan untuk melihat kedalaman lubang dan apakah terdapat peradangan diujung akar.


Rontgen Periapical digunakan untuk menunjukkan satu atau dua saja dengan lebih detail, biasanya rontgen Periapical digunakan untuk melihat kedalaman lubang dan apakah terdapat peradangan diujung akar.

