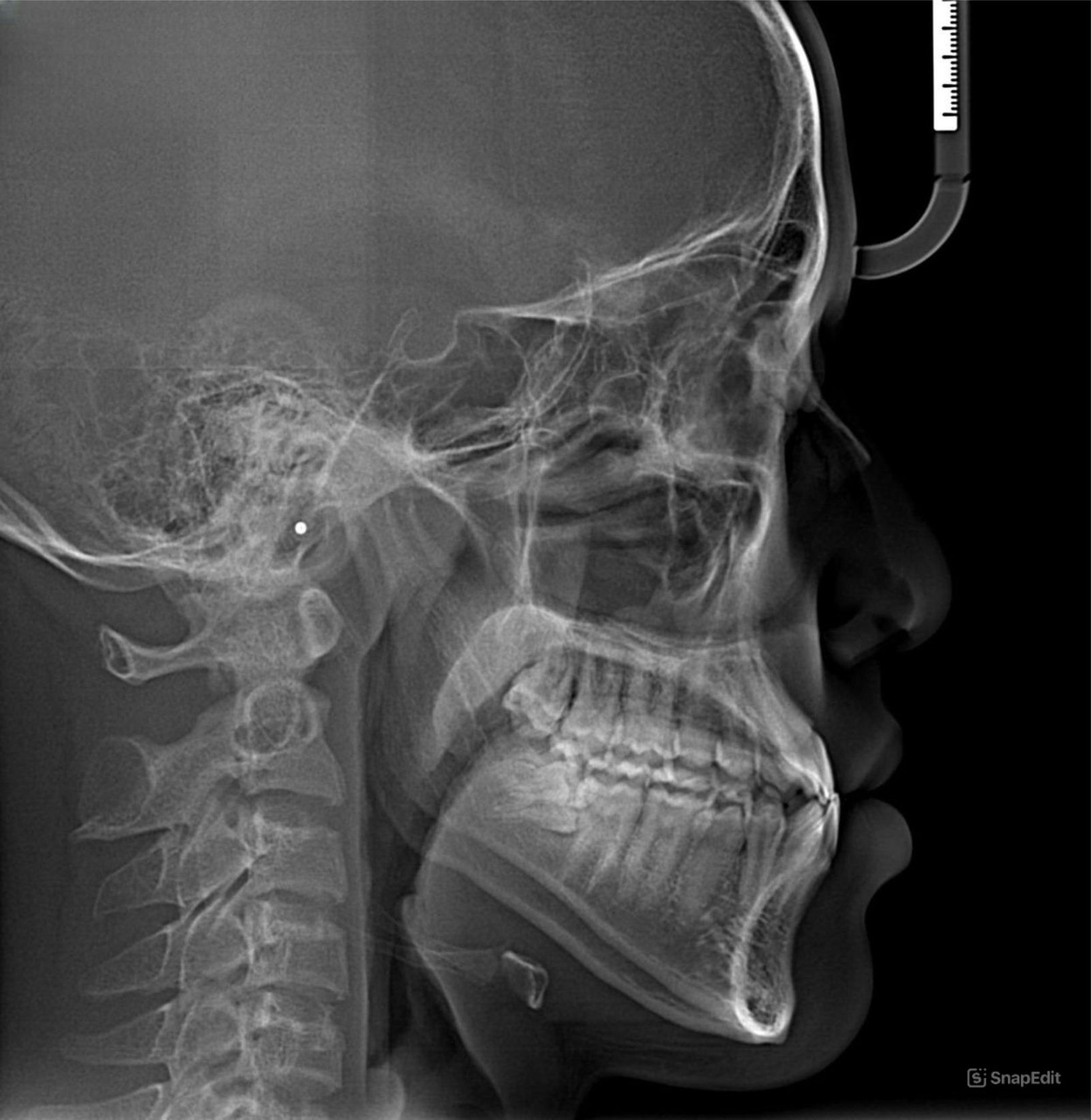
Rontgen Lateral Cepalomatric ini menunjukkan pertumbuhan dan perkembangan hubungan kepala, rahang, dan gigi dari penampakan samping.


Rontgen Lateral Cepalomatric ini menunjukkan pertumbuhan dan perkembangan hubungan kepala, rahang, dan gigi dari penampakan samping.

